At Woodhill Dental Specialties, we use Suresmile technology to improve the orthodontic care we provide. Our doctors employ the technology for both braces and aligners; it allows them complete control over treatment plan designs and the fabrication of wires or aligners. This technology empowers our team to plan more and guess less. Suresmile technology lets us create precisely defined targets and makes all efforts to get our patients the best results as efficiently as possible.
Using Suresmile, we design the wires that a robot bends to your unique smile. When you get an aligner from Woodhill Dental Specialists, you get a uniquely designed aligner that's 3D printed specifically for your needs. We continue to use Suresmile every step of the way to monitor your treatment and create new appliances.
Since implementing Suresmile technology, we've reduced our patient's treatment time from 23.1 months in 2002 to 14.5 months! Of course, treatment times are as unique as your smile and may vary based on the case. The benefits of using Suresmile don't end with shorter treatment times; it also allows for fewer overall visits to the orthodontist, less discomfort, and dramatically reduces teeth scarring (white spotting).
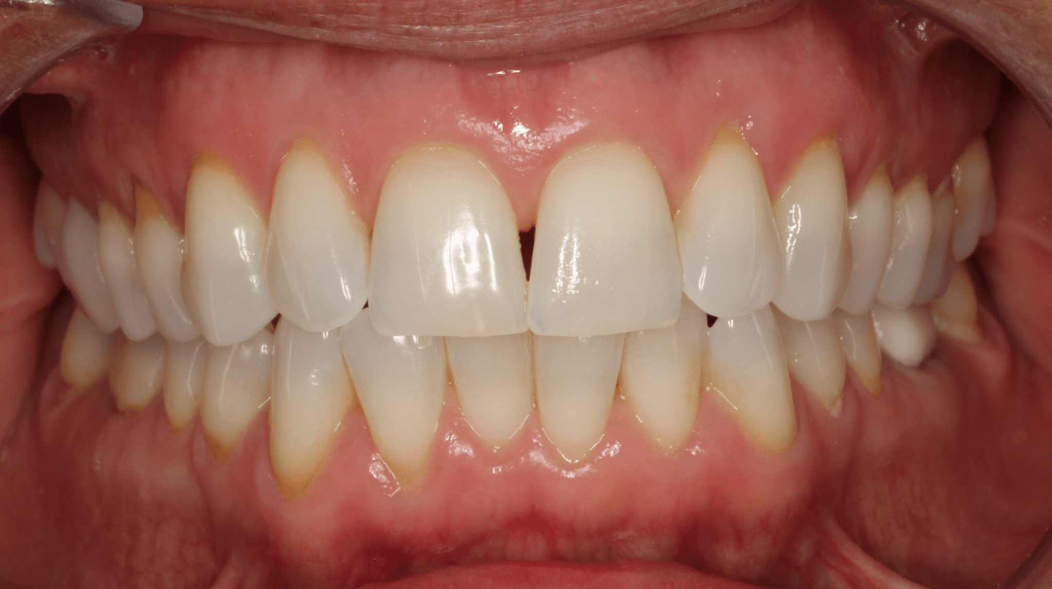
We've used Suresmile to create all the results in the smiles you see below!












She had a Two-Phase treatment:
Phase 1: Expander
Phase 2: Braces





By wearing her elastics as prescribed, she was able to get her braces off within 15 months.

































We love meeting new patients because, to us, it's meeting new friends. We strive to build relationships that last, and we take the time to get to know our patients and their families.
Expect a warm welcome when you enter our offices. Our team members love our patients and love what they do, and you'll see that every time you visit. Our practice has grown mainly through word-of-mouth, and we take pride in the fact that our patients recommend and even brag about us. We want to bring that same satisfaction of service to you!